www.elimparcial.es
ic_facebookic_twitteric_google

UNA INVESTIGACIÓN TRATA DE AVERIGUAR MÁS DATOS SOBRE SU ESTILO DE VIDA

Los moldes de yeso de los habitantes de Pompeya, a vista de TAC

Elena Viñas
x
elenavinaselimparciales/11/5/11/23
martes 29 de septiembre de 2015, 15:42h
Actualizado el: 29 de septiembre de 2015, 16:01h
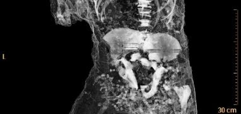
Una investigación italiana trata de averiguar más datos sobre el estilo de vida de los habitantes de Pompeya. Para ampliar la información disponible hasta el momento, ha sometido a un grupo de moldes de yeso de las víctimas del Vesubio a tomografías axiales computerizadas (TAC).

  • Foto. Ministerio de Bienes Culturales italiano


  • Foto. Ministerio de Bienes Culturales italiano


  • Foto. Ministerio de Bienes Culturales italiano


  • Foto. Ministerio de Bienes Culturales italiano


  • Foto. Ministerio de Bienes Culturales italiano


  • Foto. Ministerio de Bienes Culturales italiano

Por primera vez, un grupo de moldes de yeso de Pompeya ha sido sometido a tomografías axiales computerizadas (TAC), a partir de las que ha sido posible determinar la edad, las patologías médicas, los hábitos alimentarios y el estilo de vida de los habitantes de la ciudad arrasada por el Vesubio en el 79 d.C.

El objetivo del estudio radiológico ha sido obtener imágenes del interior de los cuerpos que quedaron conservados en ceniza durante la erupción del volcán, y que luego fueron rellenados con yeso con el propósito de preservar su integridad.

Hubo que esperar al siglo XVIII para que la fiebre por la arqueología de Carlos III promoviera la excavación de la zona con el resultado del hallazgo de Pompeya, que fue visitada en 2014 por 2.668.178 personas, según datos de la Soprintendenza Speciale Beni Archeologici Pompei Ercolano Stabia.

Entre las conclusiones de la investigación figura la evidencia de que tenían dientes en buen estado gracias a una buena alimentación basada en pocos azúcares, así como que se servían de la dentadura para romper y cortar alimentos y útiles relacionados con las actividades cotidianas o artesanales.

“Los dientes puden aportar información sobre los hábitos de vida de una persona, además de sobre sus ocupaciones”, cuentan los responsables de la investigación, que añaden que también averiguar si era flautista o fumador de pipa, por ejemplo, así como su origen geográfico y sus condiciones socioeconómicas”.

Asimismo, han sido realizados relieves en tres dimensiones de todos los cuerpos mediante técnicas digitales de vanguardia que permiten obtener datos sobre cómo ha variado su estado de conservación en el tiempo.

¿Te ha parecido interesante esta noticia?    Si (5)    No(0)

+
0 comentarios